• شهروند خبرنگار
  • شهروند خبرنگار آرشیو
امروز: -
  • صفحه نخست
  • سیاسی
  • اقتصادی
  • اجتماعی
  • علمی و فرهنگی
  • استانها
  • بین الملل
  • ورزشی
  • عکس
  • فیلم
  • شهروندخبرنگار
  • رویداد
پخش زنده
امروز: -
پخش زنده
نسخه اصلی
کد خبر: ۱۷۷۴۵۱۳
تاریخ انتشار: ۳۱ مرداد ۱۳۹۶ - ۱۸:۰۵
گشت و گذار سایبری؛

اینترنت زیاد چه بلایی سر مغزتان می‌آورد

"نیکلاس کار" در کتابش با عنوان « کم عمق: چطور اینترنت مغز ما را تغییر می‌دهد» از تاثیر فرسایشی تکنولوژی بر توانایی تمرکز می‌نویسد: زمانی من یک شیرجه رو عمیق در دریای کلمات بودم، اما حالا با جت اسکی روی آن‌ها اسکی می‌کنم.

به گزارش سرویس فضای مجازی خبرگزاری صداو سیما؛ به نقل از سیناپرس، روانشناسان هم از تاثیر عمیق این رخداد بر شیوه تفکر و مغز ما سخن می‌گویند. نخستین تاثیرش همان‌طور که نویسنده کتاب تحسین شده کم عمق می‌گوید بر توانایی تمرکز ما است. حالا زندگی ما و مغز ما چنان به تکنولوژی وابسته است که نمی‌توانیم برای چند لحظه مناسب فکر آن‌ها را مغزمان بیرون کنیم. محققان در تحقیقی دریافته‌اند، نسلی که در آستانه قرن بیست و یکم به سن و سال نوجوانی رسیده از سالمندان فراموش‌کار تر است. انتقال اطلاعات از ذهن خودآگاه به حافظه بلند‌مدت نیازمند فرآیند با همراهی زمان و تمرکز حواس است.
ما درباره اطلاعات براساس اهمیتشان دوباره می‌اندیشیم و در مغزمان آن‌ها را می‌شنویم و آن را از طریق موضوعات مرتبط به یاد می‌آوریم. اما اگر حواس ما در طی این فرایند مرتبا توسط اطلاعات جدید و متناقض پرت شود چطور؟ یک مطالعه که توسط دانشگاه کلمبیا انجام شده نشان می‌دهد، وقتی مردم فکر می‌کنند می‌توانند اطلاعات را از روی اینترنت به دست بیاورند، دیگر تمایلی برای به خاطر سپردن آن ندارند. اما این تاثیر تنها به اطلاعات ختم نمی‌شود و آن‌طور که مشخص شده تکنولوژی حتی مغز ما را هم تغییر می‌دهد. 
در حالی‌که به نظر می‌رسد جهان مجازی به ما کمک کرده تا تبدیل به موجوداتی چند وجهی و چند مسئولیتی شویم، اما این رخداد قیمت خودش را دارد. مثلا تحقیقات اخیر به وسیله MRI نشان داده مغز افرادی که زیاد به اینترنت سروکار دارند، شبیه مغز کسانی است که به مواد مخدر معتادند.
اینترنت زیاد چه بلایی سر مغزتان می‌آورد
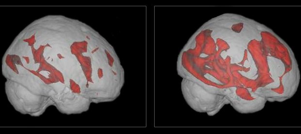
مطالعه MRI نشان می‌دهد که چطور جستجوی اینترنتی سیستم شبکه عصبی مغز را درگیر می‌کند. عکس سمت چپ فعالیت مغز در هنگام خواندن کتاب را نشان می‌دهد و عکس سمت راست فعالیت مغزی فرد در حین جستجوی اینترنتی. فعالیت نخست اعصاب کمتری را به طور عمیق و فعالیت بعدی اعصاب بیشتری را به طور سطحی درگیر می‌کند. مطالعه نشان می‌دهد این رخداد باعث تغییر در ارتباطات عصبی مغز ما می‌شود.
حتی یک مطالعه در سال 2011 نشان داد که گرفتن دسترسی اینترنت به برخی افراد باعث بروز مشکلات روحی و جسمی جدی در آن‌ها خواهد شد. مطالعه MRIروی مغز کاربران فیس‌بوک نشان می‌دهد مغز این افراد به طور غیر معمول به مسائل مربوط به دیگران اهمیت می‌دهد و نقاط مربوط در مغز آن‌ها از افراد معمولی فعال تر‌است. مطالعه کارازمایی بالینی این افراد نشان می‌دهد حس حسادت در این افراد بیشتر است که با مطالعه MRI همخوانی دارد. همچنین مطالعه‌ای که دانشگاه استنفورد انجام شد نشان می‌دهد مغز افرادی که به طور مستمر در جریان اطلاعات الکترونیکی هستند، در تمرکز و به خاطر آوردن دچار مشکل است.
بازدید از صفحه اول
ارسال به دوستان
نسخه چاپی
گزارش خطا
Bookmark and Share
X Share
Telegram Google Plus Linkdin
ایتا سروش
عضویت در خبرنامه
نظر شما
آخرین اخبار
آغاز فرایند جذب نیرو‌های خدماتی و سرایدار برای مدارس استان
جدول‌گذاری در خیابان تربیت با پیشرفت ۸۵ درصدی در حال انجام است
معرفی داوران بخش پژوهش جشنواره بین‌المللی تئاتر فجر
توقیف تانکر حامل ۲۲ هزار لیتر نفت سفید قاچاق در الیگودرز
اعلام اسامی محرومان هفته سیزدهم لیگ یک فوتبال
اجرای ۸ نمایش در مجموعه تئاتر لبخند
یادواره ۱۳ شهید پایگاه مقاومت شهید افروزپور در چرام
دورکاری کارکنان شهرداری ارومیه در روز‌های پنجشنبه
فرمانده سپاه انصارالمهدی زنجان: تفکر بسیجی تولید قدرت و عزت برای ایران اسلامی کرده است
هفته بسیج، جلوه‌ای از پیوند عمیق ولایت، ایمان و فداکاری 
واگذاری زمین طرح جوانی جمعیت به ۱۴۶ متقاضی در اردستان
عزیمت وزیر امور خارجه به پاریس
­تغییر ساعت و ورزشگاه سه مسابقه از هفته یازدهم لیگ برتر
عملیات بالگرد و ۳۲ تیم هلال احمر برای اطفاء حریق جنگل‌ها در استان
اجرای طرح زوج و فرد از درب منزل در کرج
زبان معیار (از دفتر دار شدن زبان فارسی در ساختار اداری کشور تا انتقاد زبانی رئیس جمهور از خبر بیست و سی)
 نظام مهندسی، قلب توسعه و تخصص در شهر خواهد بود
تدریس درس فداکاری دانش‌آموزان در گلزار شهدای یاسوج
پیش‌بینی کاهش دما در اردبیل
اعلام اسامی محرومان هفته یازدهم لیگ برتر فوتبال
  • پربازدیدها
  • پر بحث ترین ها
خلبانان نهاجا با پهپاد‌های پیشرفته رژیم صهیونی مقابله کردند
جزئیات تصمیم دولت درباره بنزین ۳ نرخی
دمای زیر صفر برای نیمی از شهرستان‌های یزد
مدارس سمنان غیر حضوری شد
نماینده مجلس: سهمیه بندی بنزین خودرو‌های صفر مبهم است
تغییر نرخ بنزین صرفاً مشمول کارت‌های جایگاه‌ها است
به‌زودی استاندار زن هم خواهیم داشت
اوکراین با توافق صلح آمریکا موافقت کرد
سفر وزیر امور خارجه در این هفته به فرانسه
جزئیات تصمیم دولت درباره بنزین ۳ نرخی
جای خالی قهرمانان وطن در برخی روزنامه‌ها
تعطیلی مدارس آذربایجان‌غربی در چهارشنبه ۵ آذرماه
زبان معیار ۱۴۰۴/۰۹/۰۴
خوراک دام در گرو سودجویی یک شبکه محدود
هشدار درباره موج جدید آنفلوآنزا: شدت بالا، سرایت سریع و ضرورت پیشگیری
تعطیلی مدارس آذربایجان غربی فردا سه‌شنبه  (۱ نظر)
«اذان نگو بلال»، کاری از گروه هوش مصنوعی شبکه نمایش  (۱ نظر)
تشدید اجرای طرح زوج و فرد در اصفهان از فردا  (۱ نظر)
خسارت سالانه آلودگی هوا در کشور؛ نزدیک به ۴۰ میلیارد دلار  (۱ نظر)
بالا گرفتن تنش میان اروپا و آمریکا بر سر اوکراین  (۱ نظر)
تقویت هویت ملی و دینی دو محور کلیدی وزارت آموزش و پرورش است  (۱ نظر)
توضیح سفیر ایران درباره سفر لاریجانی به پاکستان  (۱ نظر)
دستگیری فرد هتاک به مقدسات در اراک  (۱ نظر)
مسدود شدن مسیر‌های منتهی به جنگل‌های تنکابن   (۱ نظر)
مهد کودک‌ و پیش دبستانی‌ها تعطیل؛ کلاس‌های مجازی هم میزبان مدارس  (۱ نظر)
اقامه نماز باران در کوهسار  (۱ نظر)
مهر و موم نانوایی کم فروش  (۱ نظر)
اختلال پیام رسان بله در حال بررسی است  (۱ نظر)
تشدید پایش مصارف غیرمجاز و توسعه کنترل‌های هوشمند برق در تهران  (۱ نظر)